İstanbul’da karın ağrısıyla doktora gitti: Vücudunda 287 tane taş çıktı
Karabük’te yaşayan 21 yaşındaki Fatma Işık Öztürk, uzmanların idrar kesesinin ön yüzünün ve karın ön duvarının kapanmaması sonucu mesanenin direkt dışarı açılması olarak belirttiği ender ve önemli ürolojik doğumsal bir sorun olan ekstrofi vezika ve eşlik eden epispadias sorunu nedeniyle geçmiş yıllarda çeşitli operasyonlar geçirdi.
Yaklaşık 6 ay önceyse genç kız, önemli karın ağrıları hissetmeye başladı.
Bu süreçte çeşitli merkezlere giderken sonrasında İstanbul Eğitim ve Araştırma Hastanesi tabiplerine ulaştı.
HASTANEYE YATIŞI YAPILDI
Burada Üroloji Uzmanı Doç. Dr. Erkan Erkan ile Jinekolojik Onkoloji Uzmanı Op. Dr. Emin Erhan Dönmez ve grupları tarafından hastanın durumuna ait ayrıntılı incelemeler yapıldı.
2 kısmın iş birliğinde titizlikle yapılan tetkiklerde uzmanlar, vajen isimli noktada taşlar olduğunu tespit etti, Öztürk’ün çabucak yatışı yapıldı.

287 TAŞ HERKESİ ŞOKE ETTİ
Genç kızın ameliyat süreçleri başlatılırken 11 Eylül’deki operasyon sırasında hekimler da şaşkınlık yaşadı.
Öztürk’ün bedeninden 287 adet çeşitli ölçülerde taş çıkarılırken üroloji ve jinekolojik onkoloji grubu operasyonu muvaffakiyetle tamamladı. Taşların sayısını duyan genç kız ve ailesi şoke olurken operasyonun akabinde karın ağrıları dinen Öztürk, rahat bir nefes aldı. Tedavisi sonrası taburcu edilen genç kız yaşadıklarını anlatırken, operasyonu gerçekleştiren Üroloji Uzmanı Doç. Dr. Erkan Erkan ile Jinekolojik Onkoloji Uzmanı Op. Dr. Emin Erhan Dönmez de ender olduğunu söz ettikleri olayları hakkında bilgi verdi, kıymetli ikazlarda bulundu. Öte yandan, genç kızın bedenindeki 287 taşın tetkiklerdeki imajı dikkat çekerken taşlar üzerine de incelemeler yapılacak.

“BU KADAR TAŞ BEKLEMİYORDUK, RESMEN ÇAKIL TAŞI”
Hastalık sürecini aktaran 21 yaşındaki Fatma Parıltı Öztürk, “Doğuştan ekstrofi vezika hastasıyım. İdrarımı tutamıyorum, bu yüzden de bez kullanmak zorundayım. Bu da doğal ki hayatımı biraz zorluyor. Son devirde sol kasığımda büyük bir ağrı oldu, ağlatacak dereceye getiren ağrılardı. Bu kadar taş beklemiyorduk, bu kadar sertlikte de beklemiyorduk, bildiğimiz çakıl taşı resmen.
80-100 tane falandır diyorduk, bize sayısını söylediler, 287 tane deyince sahiden çok şaşırdık. Şu an kendimi çok yeterli hissediyorum, hekimlerime da teşekkür ediyorum. Oturduğumda bile çok ağrıyordu, makus hissediyordum. Doktora gidiyorduk, iğne vuruyorlardı, tesiriyle birazcık geçiyordu ancak sonra yeniden başlıyordu.” diye konuştu.

“LİTERATÜRDE ÇOK ENDER GÖRÜLEN BİR OLAY”
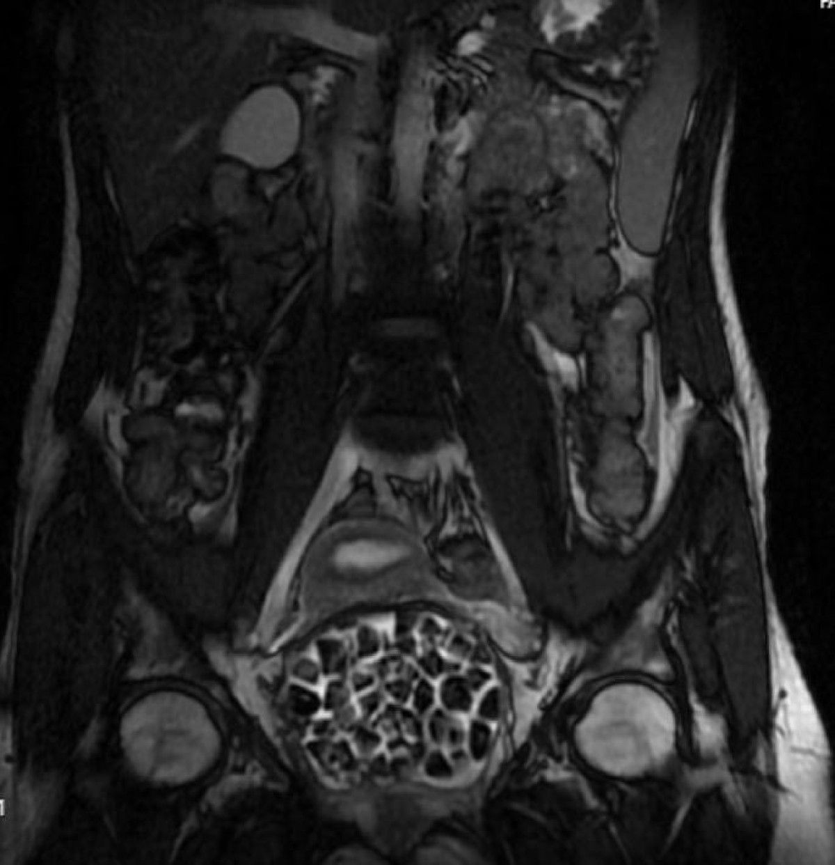
Hastasının durumuna yönelik konuşan Üroloji Uzmanı Doç. Dr. Erkan Erkan, “Hastamızın 2004 yılında doğduğunu akabinde doğar doğmaz ekstrofi vezika dediğimiz 50 binde bir görülen bir anomaliden ötürü arka arda ameliyatlar geçirdiğini öğrendik. 10 yaşında yeniden bir ameliyat geçirmişti, gerekli görüntüleme ve tetkiklerimizi yaptırdık. Olağanda mesanesinin olması gereken yerin çabucak art kısmında taşlarla dolu bir kese olduğunu gördük, bunun üzerine ek görüntülemeler; MR çektirdik. Hastamız çelişkili açıklamalar almıştı, kendi radyolojik kliniğimiz ve edindiğimiz konsültasyonlarda taşların mesanede değil vajinal boşlukta oluştuğunu düşündük, bir planlama yaptık.
Kadın doğum hocamızın da uğraşıyla taşları büsbütün temizledik akabinde ileride olağan bir hayat sürmesi bakımından oraya plastik cerrahi yaptık. 287 adet taş çıkardık, pratikte sahiden görünce çok şaşırdık zira bu tıpkı vakitte literatürde çok ender görülen bir olay. Biz ameliyata hazırlanırken de teorik olarak biraz araştırdık. Literatürde gördüğümüz kadarıyla buna benzeri bu tanıma uyan bir olay vardı. Literatürde sanırım yayınlanmış 2’nci olay olacak. Farkındalık çok kıymetli, şuurlu bir hastamız vardı. Doğumsal anomaliyle doğan çocuklarımızda ileride bunlara bağlı birtakım ezalar çıkabileceğinin öngörülmesi lazım. İlgili tedavilerini alsalar bile nizamlı takiplere gelmeleri gerekiyor. İleride şayet dikkat etmezse ki zannetmiyorum, tekrarlayabilir. Bu rahatsızlık ekstrofi vezikal epispadias durumu, çok ender bir durum.” dedi.

“TÜM VAJENİN TAŞLARLA DOLU OLDUĞUNU GÖRDÜK”
Genç kızın uzun müddettir devam eden karın ağrısı olduğunu söyleyerek kelamlarına başlayan Jinekolojik Onkoloji Uzmanı Op. Dr. Emin Erhan Dönmez, “Mesane taşları olduğu düşünülerek daha büyük bir hastaneye refere edilmiş. Ortamızda küçük bir kurul yaparak muayene ettik. Vajen bir hazne misyonu görerek orada durağan bir idrar, uzun mühlet beklediği için idrar içindeki minerallerde çökerek taşlar oluşmuş. Mesanedeki idrarın vajene akmış olabileceği ve vajende göllenen idrar nedeniyle taşların burada oluşacağını düşündük, ameliyatımızı planladık. Ameliyata teşhis hedefli girmiştik, sistoskopi (Mesane üzere idrar yollarını kapsayan kısımlardaki rahatsızlıkların teşhis ve tedavisinde kullanılan endoskopik bir yöntem) dediğimiz ameliyatı Erkan Hocam ile birlikte gerçekleştirdik.
Önce mesaneyi bir görüntüledik, mesane tabanına yaklaşık 2-3 cm’lik bir alandan vajene fistülize olduğunu gördük. Mesaneden vajene geçtiğimiz esnada tüm vajenin taşlarla dolu olduğunu gördük. Teşhis hedefiyle girdiğimiz ameliyatta her şey de olağan gittiği için tedaviye geçtik. Taşların çıkabileceği kadar bir genişlik sağladık. Daha sonra yaklaşık en büyüğü 2,5 cm boyutlarında olan, irili ufaklı 287 tane taşı ameliyat esnasında çıkarmış olduk. Taşların tekrarlamaması için idrarın göllenmemesi, en azından dışarıya rahatça boşalabilmesi için vajinal rekonstrüksiyonu sağladık. Ameliyatta da rastgele bir sorun yaşamadık. Literatürü Erkan Hocam ile birlikte değerlendirmiştik. Primer olarak vajende birikmiş olan bu kadar çok sayıda taşla ilgili bir makale görmedik, rastlamadık.” dedi.

“MAKSİMUM 100-110 KADAR BİR TAŞ VARDIR DİYE NİYETİMİZ VARDI”
Hastalık ve teşhis sürecine ait bilgi veren Op. Dr. Dönmez, sözlerine şöyle devam etti:
Konjental anomali, bunu gebelik esnasında yapmış olduğumuz ultrasongrafi muayenelerinde saptayabiliyoruz. Olağanda mesanede idrar birikmesi gerekirken biz ultrasonda bu bebeklerin mesanesinde birikmediğini görüyoruz. Oradan tanıya gidebiliyoruz. Değerli olan burada tanıyı koyduktan sonra bu hastaların 3’üncü seviye, multidisipliner bir hastanede doğum yapmasını sağlamak.
Doğumdan sonra en kısa müddette mesane rekonstrüksiyonunun multidisipliner takımlarla gerçekleştirilmesini sağlamak zira mesane direkt karın dışına açıldığı için enfeksiyona açık bir ortam oluşuyor. Bebeğin hayatını tehdit edecek önemli enfeksiyonlar gelişebiliyor. Anomalilerin durumuna nazaran bu hastalar bir sıra ameliyat geçirerek sağlıklı bir formda hayatlarına devam edebiliyor. Hastamızı muayenelerine, denetimlerine çağıracağız. Biz de o kadar taş beklemiyorduk, azamî 100-110 kadar bir taş vardır diye bir niyetimiz vardı, sayalım dedik. 287 taş da bizi ameliyat esnasında heyecanlandırmıştı.
Saydıktan sonra bu bilgiyi hastamız ve ailesiyle paylaştık. Onlar da şaşkınlık halindeydi, böbrek taşını düşüren bir bireyle konuştuğunuz vakit bir taşın bile ne kadar sıkıntı bir biçimde düştüğünü size tanım edecektir. Taşların uzun yıllar boyunca yavaş yavaş oluştuğunu düşünüyoruz.








